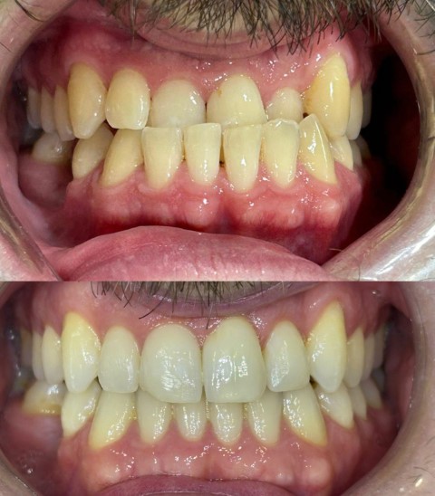
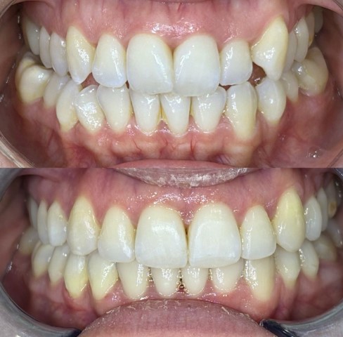
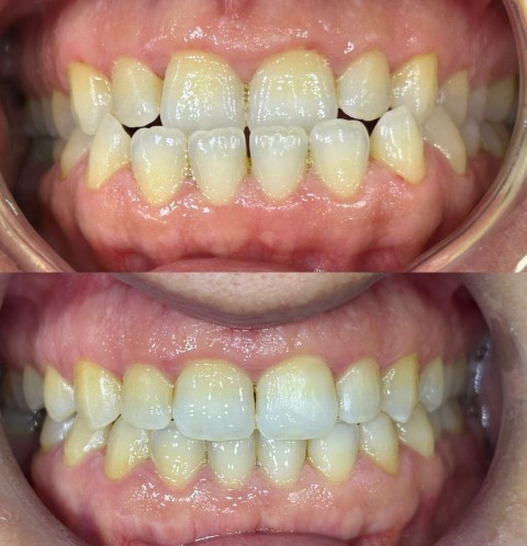
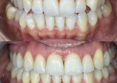
Recuerda que en la clínica dental de Beniaján (Murcia), contamos con los más modernos equipos y tratamientos para la odontología general, así como con dentistas y odontólogos especializados para otros tratamientos dentales más específicos como: Odontopediatría u odontología infantil, Endodoncia, Periodoncia, estética dental, prótesis dentales, implantes dentales y ortodoncia en Beniaján.
Clínica dental en Beniaján
C/ Algezares 74
30570 – Beniajan (Murcia)
Tel. 968 83 73 16
Horario clinica
Lun-Vie: 9:00 am – 21:00 pm
Tratamientos dentales
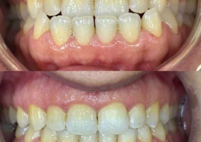
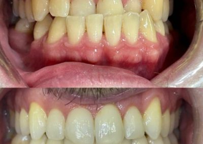
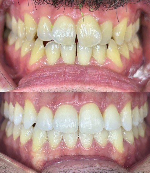
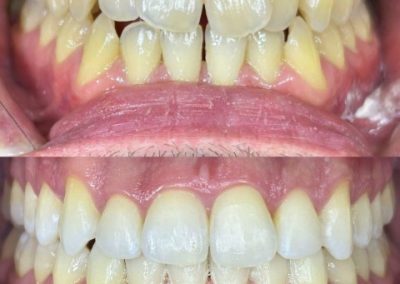
Ofrecemos tratamientos de odontología general y odontología infantil, odontopediatria, endodoncia, periodoncia, estética dental, prótesis dentales, implantes dentales y ortodoncia en Beniaján.
Servicios de odontología
Nuestra dentista en Beniaján atiende una gran variedad de casos. En Clínica La Fuensanta ofrecemos diferentes servicios de odontología en Beniaján. Consulta con nuestro dentista.